NEVJEROVATNI VIDEO

Pogledajte kako 'iznutra' izgleda porođaj!

Arhiva27.06.12, 21:47h

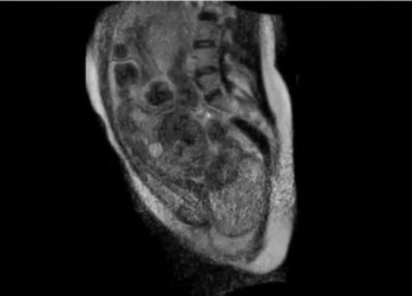
Ljekari berlinske bolnice Šarite napravili su snimak porođaja "iznutra", uz pomoć specijalnog, otvorenog skenera za magnetnu rezonancu i time ušli u istoriju, jer je ovo prvi put da nastaje takav snimak. POGLEDAJTE FASCINANTNI VIDEO!

porodjaj iznutraSnimak traje 30 sekundi i prikazuje tzv. drugu fazu porođaja, tokom koje se majka trudi da izgura bebu korz porođajni kanal, prenosi Blic.rs.

Porodilja je 24-godišnja žena koja je dobrovoljno pristala da se podvrgne ovom eksperimentalnom postupku snimanja. Neposredno prije izlaska bebe iz porođajnog kanala snimanje je obustavljeno, kako novorođenče ne bi bilo izloženo buci koju stvara magnetna rezonanca.

Većina aparata za magnetnu rezonancu ima oblik cijevi, ali tim bolnice Šarite je za ovakve potrebe konstruisao specijalni, “otvoreni” aparat, u kome ima dovoljno mjesta za babice i porodilju, koja je u njemu provela 45 minuta.

Prema riječima ginekologa Ernsta Bernda, porođaj je protekao normalno, a aparat je snimio sve pokrete i procese koji se odigravaju u materici i porođajnom kanalu, pa je čak ljekarima omogućio i da prate bebine otkucaje srca.

Snimak je obezbjedio dragocene podatke o procesu porođaja, i omogućio je naučnicima da vide detalje kakvi su ranije mogli da se proučavaju samo u simulacijama. Takođe bi mogao pomoći i da se objasni zbog čega oko 15 posto žena mora da se porodi carskim rezom, jer se njihove bebe u porođajnom kanalu ne kreću dovoljno.

Snimak o kome je riječ načinjen je još u novembru 2010, ali u to vrijeme je objavljen samo u vidu fotografija, dok je tek sada postao dostupan javnosti u cjelini.


(DEPO PORTAL, BLIN/dg)


Depo.ba pratite putem društvenih mreža Twitter i Facebook