
Mladi naučnik umro je od posljedica meningokokne bolesti za koju se pretpostavlja da je prouzročila bakterija koju je naučnik proučavao kako bi pronašao cijepivo protiv nje.
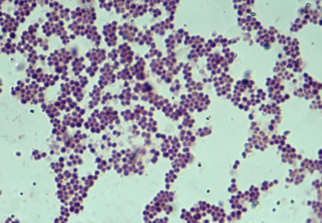
Richard Din (25) umro je od zarazne meningokokne bolesti, a pretpostavlja se da je zaražen vrlo opasnim sojem bakterije koju je istraživao u laboratoriju u San Franciscu, a Američki centar za kontrolu i prevenciju zaraznih bolesti još uvijek istražuje što se tačno dogodilo.
Rijetki su slučajevi u kojima se naučnik zarazio bakterijom koju istražuje, a kao mjeru opreza su porodica, prijatelji i medicinsko osoblje koje je pokušalo pomoći mladom naučniku dobili antibiotike.
- Richard Din umro je u subotu najvjerojatnije od bakterije Neisseria meningitidis koja je uzrokovala višestruko otkazivanje organa i sepsu, rekla je glasnogovornica Odjela za javno zdravstvo San Francisca Eileen Shields.
Naučnici već 20 godina tragaju za cjepivom protiv serogrupe B koja je ubila Richarda. Potraga za ovim cjepivom često se uspoređuje s potragom za Svetim Gralom.
(DEPO/BLIN/em)
PODIJELI NA
Depo.ba pratite putem društvenih mreža Twitter i Facebook