PANIKA U BRITANIJI

Metalni kukovi izazivaju 'sistemsko trovanje' organizma

Arhiva29.01.12, 13:52h

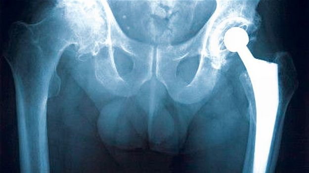
Desetine hiljada pacijenata u Velikoj Britaniji možda se truju umjetnim kukovima. Trideset hiljada ljudi u Velikoj Britaniji ima ugrađene umjetne metalne kukove. Problem s metalnim kukovima nastaje u zglobu implantanta koji se troši trljanjem dviju pločica

kuk-snimakMetal može ući u krvotok te izazvati upale koje mogu uništiti mišiće i kosti. Zbog toga su britanske medicinske službe krenule u sastavljanje novih medicinskih standarda i pravila za ugradnju metalnih kukova. Britanska agencija za sigurnost medicinskih proizvoda (Medicines and Healthcare products Regulatory Agency, MHRA) smatra da "metalni mogu izazvati sistemsko trovanje ljudskog organizma".

No, prema dostupnim podatcima, većina pacijenata ima mali rizik od razvijanja bilo kakvih ozbiljnih problema. Nastavljamo pažljivo motriti pacijente s metalnim kukovima jer su prije konačnog zaključka potrebni dodatni dokazi".

(Index.hr, DEPO PORTAL, BLIN MAGAZIN/eb)


Depo.ba pratite putem društvenih mreža Twitter i Facebook